Oralno zdravlje je tema koja se obično potegne tek kad se oseti bol. Ljudi se često jave stomatologu tek kada bol postane svakodnevan i kad je jasno da više nema prostora za odlaganje.
Iza kulisa stoji mnogo duži proces.
Veliki broj oboljenja u usnoj duplji napreduje sporim tempom. Prve promene jedva da se primete i ne deluju opasno. Posledice se popravljaju teško i često uz znatne troškove.
Zato je važno prepoznati rane signale i reagovati na vreme.
To govori sve o tome koliko je oralno zdravlje potcenjeno.
U ovom vodiču navešćemo najčešće probleme, rane znake, moguće uzroke i korake koje možete preduzeti odmah.
Da bi sve bilo jasnije od starta, evo kratkog pregleda najvažnijih simptoma, uzroka i trenutaka kada treba reagovati hitno.
Pregled najčešćih problema
| Problem | Tipični rani znaci | Najčešći uzroci | Šta možete odmah | Kada je hitno |
| Karijes | Hrana zapinje, osetljivost na slatko i hladno, tamnije mrlje | Učestalo grickanje šećera, plak, manjak fluorida | Fluoridna pasta 2 puta dnevno po 2 minuta, čišćenje između zuba, smanjenje učestalosti šećera | Jak spontani bol, otok, temperatura |
| Gingivitis | Krvarenje pri pranju, crvene i otečene desni | Plak uz ivicu desni | Mekša četkica, nežna tehnika, čišćenje između zuba svakog dana | Otok koji se širi, gnoj, bol pri žvakanju |
| Parodontitis | Povlačenje desni, klimanje zuba, loš zadah | Dugotrajan gingivitis, pušenje, dijabetes | Parodontološki pregled bez odlaganja | Otok, apsces, bol, klimanje više zuba |
| Preosetljivost | Kratak ubod pri hladnom ili slatkom | Otkriven koren, erozija, agresivno pranje | Desenzitizirajuća pasta, fluorid po savetu stomatologa | Bol koji traje dugo ili budi noću |
| Erozija | Tanjene ivice, žućkastija boja, voskasti sjaj | Kiseli napici, refluks, povraćanje | Smanjenje kiseline, ispiranje vodom, pauza pre pranja | Pucanje, fragmenti zuba, jaka preosetljivost |
| Halitoza | Uporan loš zadah | Naslage na jeziku, gingivitis, suva usta | Čišćenje jezika, lečenje desni, hidracija | Ako traje uprkos higijeni i sanaciji zuba |
| Umnjaci, perikoronitis | Bol i otok oko delimično izniklog zuba | Džep ispod poklopca desni, zadržavanje hrane | Ispiranje po savetu stomatologa, pregled | Temperatura, otok lica, otežano otvaranje usta |
| Zubni apsces | Jak bol, otok lica, loš ukus, povišena temperatura | Neliječeni karijes ili parodontitis | Hitna poseta stomatologu | Teško disanje ili gutanje, širenje otoka |
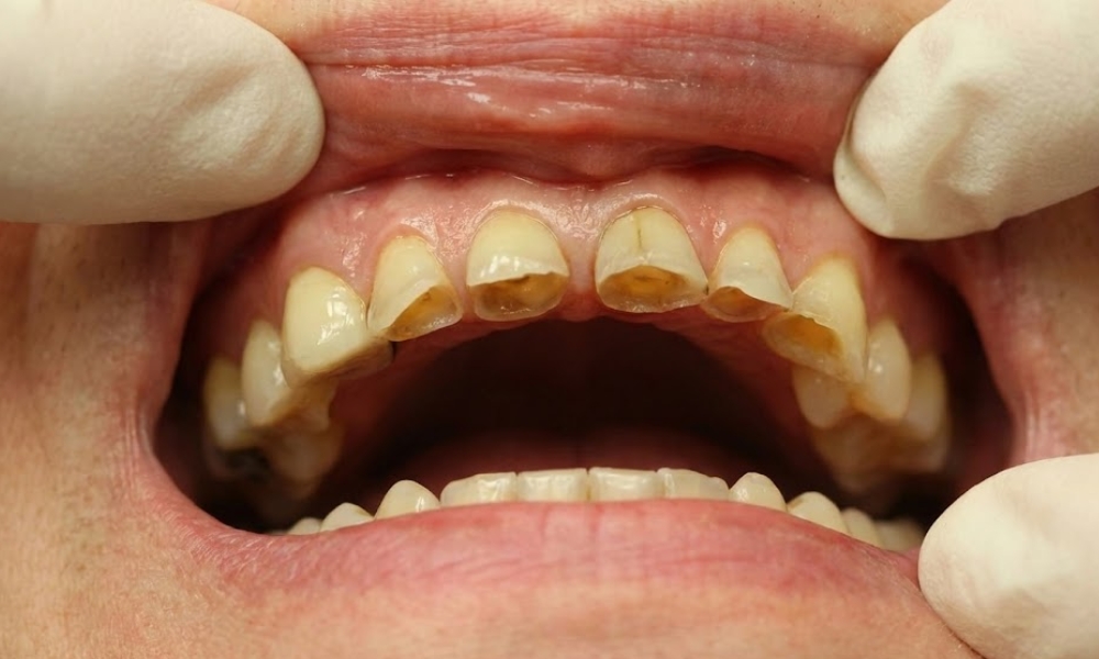
Karijes, najčešći i najpodcenjeniji problem

Karijes ne nastaje naglo. Ne pojavljuje se kao rupa odjednom. Najpre se javljaju male demineralizacije gleđi duž ivice desni ili u fisurama.
Tek kada proces traje dovoljno dugo prelazi u kavitaciju. Suština problema je u kombinaciji bakterijskog biofilma, učestalog unosa šećera i vremena.
Ako se ne prekine nijedna od te tri karike, lezija napreduje.
Prema međunarodnim procenama, neliječeni karijes stalnih zuba jedno je od najčešćih zdravstvenih stanja uopšte.
Kako izgleda rano otkrivanje
Stomatolozi gledaju znakove koji se teško primete kod kuće:
- kredaste bele mrlje duž desni
- početna omekšanja u fisurama
- promene uz ivice starih plombi
- početne lezije između zuba koje se vide samo na snimku
Najbolji pacijenti obično nisu oni koji savršeno peru zube, već oni koji dolaze redovno na pregled.
Ako niste sigurni u ranu promenu na zubu, najbolje je da potražite savetu stručnjaka kao što je zubar u Novom Sadu koji svakodnevno otkriva početne lezije pre nego što postanu veliki problem.
Navike koje najčešće stvaraju problem

Mnogi pacijenti misle da greše samo oni koji jedu mnogo slatkog. U praksi, glavni okidač je učestalost slatkog, ne samo količina.
Kafe koje se piju u sitnim gutljajima uz šećer, sokovi na poslu, energetski napici za trening, žvakanje slatkiša tokom radnog dana. Sve to otvara vrata za stalno spuštanje pH u ustima.
Šta zaista pomaže
Stomatološke preporuke su jednostavne, ali efikasne:
- pranje dva puta dnevno fluoridnom pastom uz stvarnih dva minuta
- čišćenje između zuba svakog dana
- smanjenje učestalosti slatkog
- korišćenje fluoridisanih voda ako postoje u sistemu
- doslednost, ne perfekcionizam
Fluorid jača gleđ, a dobra tehnika čuva ono što fluorid izgradi. Kod pacijenata koji imaju veći rizik stomatolozi često uključuju dodatne profesionalne fluoridne tretmane.
Gingivitis i parodontitis (krvarenje desni je znak upozorenja)

Krvarenje desni nikada nije benigno. Gingivitis je upala površine desni, dok se parodontitis odnosi na dublje strukture potpore zuba.
Parodontitis se ne vraća u potpuno zdravo stanje jednostavnim pranjem kod kuće. Može se zaustaviti, usporiti i držati pod kontrolom uz profesionalni tretman i preciznu kućnu negu.
Najčešća greška
Kada se pojavi krvarenje, mnogi prestanu da četkaju baš taj deo. To je najgora moguća reakcija.
Plak se dodatno gomila, upala se produbljuje i problem raste. Rešenje je zapravo nežnije, ali temeljno čišćenje ivice desni i prostora između zuba.
Šta pomaže u praksi
Stomatolozi se oslanjaju na kombinaciju profesionalnog tretmana i kvalitetne kućne rutine.
- profesionalno čišćenje i procena, posebno ako krvarenje traje duže od desetak dana
- interdentalne četkice za veće razmake
- konac ili trakice za tesne kontakte
- smanjenje pušenja
- bolja kontrola dijabetesa
Zanemarivanje gingivitisa vremenom vodi ka gubitku potpore zuba. Pacijenti često primete problem tek kada zubi počnu da se pomeraju.
Preosetljivost zuba

Preosetljivost dentina spada među najčešće razloge zbog kojih se pacijenti javljaju stomatologu.
Osećaj kratkog uboda pri hladnom vazduhu ili gutljaju hladnog napitka obično ukazuje na otkriven dentin.
Uzrok može biti povlačenje desni, erozija, agresivno pranje ili karijes.
Kako izgleda tipična preosetljivost
- kratak ubod pri hladnom, slatkom ili dodiru četkice
- bol prestaje odmah nakon uklanjanja nadražaja
- ponekad se javlja posle profesionalnog čišćenja ili perioda čestog unosa kiselih napitaka
Šta pomaže
- mekša četkica i nežniji pritisak
- desenzitizirajuće paste primenjivane najmanje dve do četiri nedelje
- izbegavanje horizontalnog trljanja
- uklanjanje kiselih okidača
Ako se bol produžava ili pulsira, to upućuje na dublji problem i zahteva pregled. Kućne mere ne rešavaju inflamaciju živca.
Erozija i trošenje zuba

Erozija je hemijski gubitak gleđi usled delovanja kiselina koje ne potiču od bakterija. Atricija i abrazija odnose se na mehaničko trošenje.
Pacijenti često ne obraćaju pažnju na prve promene. Površina zuba počne da izgleda glatkije, boja postaje žućkastija, ivice se tanje.
Šta najčešće izaziva eroziju
- kiseli napici, gazirane vode, energetski napici, kombuha
- refluks i gorušica
- ponavljano povraćanje
- često grickanje citrusnog voća
Praktični saveti stomatologa
- kiseli napici samo uz obrok, nikada tokom celog dana
- ispiranje vodom odmah posle kiseline
- pranje zuba tek posle pauze
- tretmani fluoridom po proceni stomatologa
- rešavanje refluksa ako postoji
Erozija često napreduje sporo, ali jednom kada dentin postane otkriven simptomi mogu biti vrlo neprijatni.
Halitoza

Halitoza može biti posledica stomatoloških problema, ali i šireg medicinskog stanja. U velikom broju slučajeva potiče iz same usne duplje.
Naslage na jeziku, gingivitis, parodontitis, karijesne kavitacije i suva usta spadaju u najčešće faktore.
Kako se rešava halitoza
- čišćenje jezika strugačem ili zadnjom stranom četkice
- lečenje desni i karijesa
- bolja hidratacija
- procena suvoće usta i korekcija navika
Ako miris traje i nakon sanacije zuba, potrebno je razmotriti i sistemske uzroke.
Zubni apsces

Apsces nastaje kada se bakterijska infekcija proširi i formira džep gnoja. Obično se pojavljuje nakon neliječenog karijesa ili parodontitisa.
Tipični znaci su jak bol, otok, loš ukus i povišena temperatura. Ovo nije situacija za kućne eksperimente. Apsces zahteva hitnu procenu.
Znaci za hitnu reakciju
- otok lica
- temperatura i malaksalost
- otežano otvaranje usta
- teško gutanje ili disanje
Ovi simptomi mogu predstavljati ozbiljan rizik. Lekovi za bol samo privremeno umanjuju tegobe. Infekcija mora biti tretirana profesionalno.
Umnjaci i perikoronitis
Umnjaci često izrastu bez problema. Kod mnogih ljudi ipak ostanu delimično prekriveni desni pa se ispod tog poklopca zadržava hrana.
Tako nastaje perikoronitis, upala mekih tkiva oko zuba.
Najčešći znaci
- bol pozadi u vilici
- otečena desni
- neprijatan ukus
- ponekad otežano otvaranje usta
Rešenje je pregled i procena položaja zuba. Nekada je dovoljno očistiti područje i pratiti stanje. Nekada je vađenje bolja opcija.
Bruksizam i bol u vilici

Bruksizam je stiskanje ili škripanje zubima, često nesvesno. Može biti dnevni ili noćni.
Noćni bruksizam je posebno problematičan jer pacijenti ne znaju da ga imaju dok se ne pojave posledice.
To mogu biti glavobolje, bol u zglobu, pucanje ivica zuba ili osećaj ukočenosti ujutru.
Šta pomaže
- noćni splint koji sprečava dalje habanje
- pauza od tvrdih namirnica i žvaka
- rad na stresu i kvalitetniji san
- procena posture kod dugotrajnih tegoba
Oštećenja nastala bruksizmom ne rešavaju se spontano. Potrebno je sprečiti dalji gubitak materijala.
Povrede zuba
Sportske povrede zuba su česte, a štitnik za zube jednostavna i efikasna preventiva.
Idealno je koristiti individualno prilagođen splint.
Ako stalni zub ispadne
Praktični plan koji stomatolozi preporučuju u ovakvim situacijama:
- zub ne sme da se osuši
- pokušati vratiti ga u alveolu, bez dodirivanja korena
- ako to nije moguće, čuvati ga u mleku ili između obraza i desni
- odmah potražiti stomatologa
Razlika između vraćenog i izgubljenog zuba često zavisi samo od toga koliko je dugo bio suv.
Dnevna rutina koja štiti većinu ljudi

Za većinu pacijenata, jednostavna i dosledna rutina daje najbolje rezultate.
Minimalna rutina
- jutarnje pranje 2 minuta fluoridnom pastom
- večernje čišćenje između zuba, pa pranje 2 minuta
- ograničavanje slatkog i kiselog na obroke
- redovne kontrole po proceni stomatologa
Slatki napici, neredovno čišćenje i preskakanje interdentalnih prostora čine najveću razliku između stabilnog i problematičnog oralnog zdravlja.
Rezime
Najčešći stomatološki problemi razvijaju se sporo, ali posledice se javljaju naglo. Rani znaci uglavnom ne bole, pa je lako steći utisak da se ništa ozbiljno ne dešava.
U stvarnosti, većina komplikacija može se izbeći uz jednostavne navike, povremene profesionalne tretmane i pravovremene reakcije.
Higijena koja traje četiri minuta dnevno i kontrolni pregledi nekoliko puta godišnje štite zdravlje zuba daleko bolje nego bilo kakva hitna intervencija.
Stomatolozi to vide svakog dana. Pacijenti koji reaguju na vreme najčešće sačuvaju i zube i živce.

